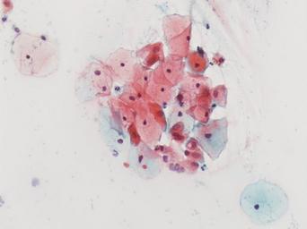
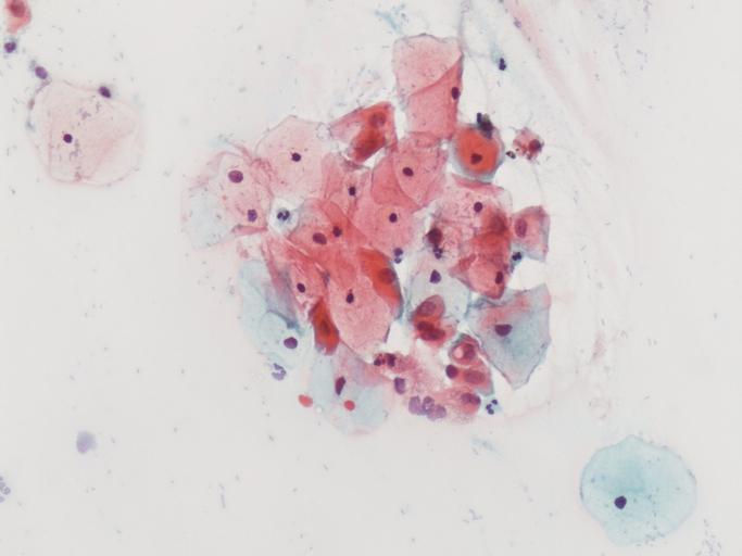
Keywords: lesión intraepitelial escamosa de bajo grado lesiónintraepitelialescamosadebajogrado citología de cuello uterino citologíadecuellouterino citología exfoliativa ginecológica citologíaexfoliativaginecológica citología de cribado citologíadecribado citología anatomía patológica anatomíapatológica bethesda 2001 bethesda2001 osuna cérvix uterino cérvixuterino hpv españa screening lsil enfermedades de transmisión sexual enfermedadesdetransmisiónsexual imágenes de citología ginecológica imágenesdecitologíaginecológica papanicolaou test de papanicolaou testdepapanicolaou tinción de papanicolaou tincióndepapanicolaou Células con núcleo y citoplasma aumentado de tamaño, núcleos irregulares, como plumosos, tendencia al color naranja de muchas células, halos en algunos casos, núcleos dobles en otros, algunos núcleos hipercromáticos. Células con núcleo y citoplasma aumentado de tamaño, núcleos irregulares, como plumosos, tendencia al color naranja de muchas células, halos en algunos casos, núcleos dobles en otros, algunos núcleos hipercromáticos. |