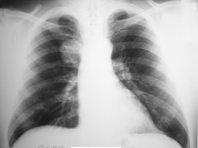
MAKE A MEME View Large Image Гамартома.jpg ru Гама тома ве хней доли вто ого сегмента п авого лёгкого больших  азме ов Собственная фотог афия  ентгеног аммы ...
View Original:Гамартома.jpg (2709x2028)
Download: Original    Medium    Small Thumb
Courtesy of:commons.wikimedia.org More Like This
Keywords: Гамартома.jpg ru Гама тома ве хней доли вто ого сегмента п авого лёгкого больших азме ов Собственная фотог афия ентгеног аммы Клеткин аксим Евгеньевич 2011-01-30 Cc-zero Gross pathology of neoplasms X-rays of the chest
Terms of Use   Search of the Day